UCD cancer research to reduce number of patients exposed to excessive treatment

Posted October 19, 2016
- €2.5m funding will support more accurate breast and prostate cancer diagnosis
- This will save patients from unnecessary chemotherapy or surgery
A UCD cancer research project that aims to reduce the harmful effects of over-treatment by more accurately diagnosing patients has received €2.5 million in funding from (opens in a new window)Science Foundation Ireland.
OPTi-PREDICT will develop two biomarker panels to assess the risk of breast and prostate cancer progression. A biomarker is an indicator of the presence and severity of a disease. Examples include genes or proteins.
OncoMasTR will be used in breast cancer diagnosis and Pro-RISK CAL will be used for prostate diagnosis. Together they will reduce the number of patients who suffer the harmful effects of unnecessary chemotherapy or surgery.
The project will be led by Professor William Gallagher, UCD School of Biomolecular and Biomedical Science, and Professor William Watson, UCD School of Medicine. Professor Gallagher and Professor Watson are also Fellows at UCD Conway Institute.
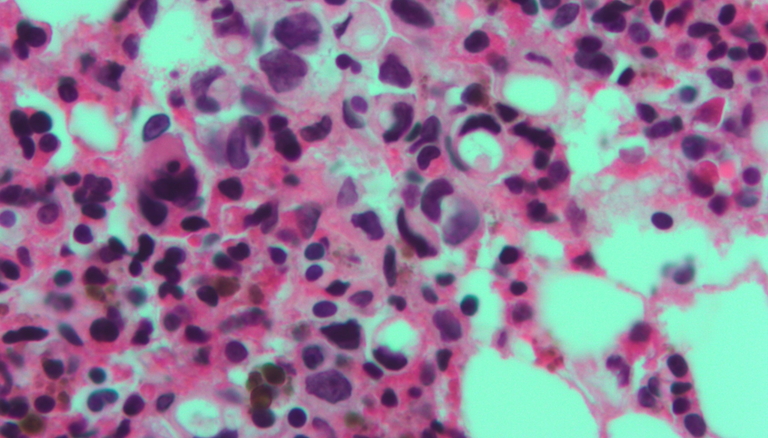
Pictured: Micrograph of signet ring cells (arising from breast). H&E stain. Nephron/Creative Commons.
“This highly interdisciplinary and translational research programme, funded by Science Foundation Ireland, will allow us to fast-track development of novel diagnostic solutions for two of the most significant cancer types to affect men and women,” said Professor Gallagher.
“A key element of our approach is comprehensive clinical validation of the new decision support systems developed, such that they can be provided in the short-term as useful aids to spare patients from unnecessary treatment.”
Breast cancer is the most common cancer in women, making up a quarter of all cancer diagnoses with approximately 1.6 million new cases each year.
In men, prostate cancer is the most common non-skin related cancer in developed countries with almost one million cases each year. Like breast cancer, current standard testing can result in over-diagnosis and excessive treatment.
The OPTi-PREDICT group will collaborate with digital healthcare company Optimata. They will develop two computerised systems to support decision making and provide more personalised treatment choice.
By: Jonny Baxter, digital journalist, UCD University Relations